Αποκρινής Μεταπλασία
Αποκρινής Μεταπλασία
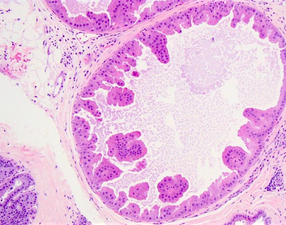
Η αποκρινής μεταπλασία είναι μια σχετικά συνηθισμένη αλλοίωση του μαστού και αφορά συνήθως νέες γυναίκες ηλικίας άνω των 25 ετών.
Αποτελεί μικροσκοπικό παθολογοανατομικό εύρημα σε χειρουργικά παρασκευάσματα και σε υλικό βιοψίας με βελόνη.
Συχνά ανευρίσκεται στο τοίχωμα κύστεων ή διατεταμένων γαλακτοφόρων πόρων ή μέσα σε άλλες αλλοιώσεις όπως η αδένωση και τα ενδοπορικά θηλώματα.
Είναι καλοήθης αλλοίωση, δεν συσχετίζεται με ανάπτυξη κακοήθειας και δεν απαιτεί καμία θεραπεία.
Εξαιρετικά σπάνια η αποκρινής μεταπλασία συνοδεύεται από ατυπία.
Αν η άτυπη αποκρινής μεταπλασία ανευρεθεί σε υλικό βιοψίας με βελόνη, τότε, κατά περίπτωση μπορεί να απαιτηθεί χειρουργική αφαίρεση.