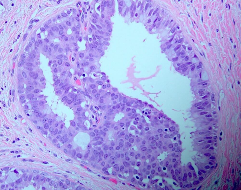
Επιθηλιακή υπερπλασία

Επιθηλιακή Υπερπλασία

Επιθηλιακή υπερπλασία

Τα αδενικά λόβια αποτελούν τη δομική μονάδα του μαστού και είναι οι περιοχές όπου παράγεται το γάλα κατά την περίοδο της γαλουχίας.

Οι γαλακτοφόροι πόροι αποτελούν το δίκτυο αγωγών (σωληναρίων) που μεταφέρει το γάλα προς τη θηλή.

Τόσο τα λόβια όσο και οι γαλακτοφόροι πόροι σχηματίζονται από συγκεκριμένες στιβάδες (στρώματα) κυττάρων, των επιθηλιακών κυττάρων.

Η αύξηση στον αριθμό των στιβάδων και στον αριθμό των κυττάρων ονομάζεται υπερπλασία.

Όταν η υπερπλασία αφορά κύτταρα με φυσιολογική εμφάνιση και αρχιτεκτονική ονομάζεται απλή υπερπλασία και δεν συσχετίζεται με κίνδυνο ανάπτυξης κακοήθειας.

Αντίθετα, όταν συνοδεύεται από αλλαγή στην φυσιολογική εμφάνιση και αρχιτεκτονική των κυττάρων χαρακτηρίζεται ως άτυπη υπερπλασία και συσχετίζεται με κίνδυνο ανάπτυξης κακοήθειας.

Η άτυπη υπερπλασία διακρίνεται σε άτυπη λοβιακή υπερπλασία και σε άτυπη υπερπλασία των πόρων.

Η άτυπη λοβιακή υπερπλασία αποτελεί τυχαίο μικροσκοπικό εύρημα σε χειρουργικό παρασκεύασμα (ιστός μαστού που αφαιρέθηκε χειρουργικά) ή σε παρασκεύασμα βιοψίας με βελόνη (ιστός μαστού που λήφθηκε μετά από βιοψία με βελόνη).

Η ανεύρεση άτυπης λοβιακής υπερπλασίας δεν απαιτεί καμία επιπλέον θεραπεία αλλά αποτελεί παράγοντα κινδύνου ανάπτυξης καρκίνου του μαστού στο μέλλον, τόσο στο μαστό στον οποίο βρέθηκε η αλλοίωση όσο και στον άλλο μαστό.

Σε πολλές περιπτώσεις η γυναίκα θεωρείται υψηλού κινδύνου και ο προληπτικός έλεγχος τροποποιείται ανάλογα.

 

Η άτυπη υπερπλασία των πόρων επίσης μπορεί να αποτελεί μικροσκοπικό εύρημα σε χειρουργικό παρασκεύασμα ή σε παρασκεύασμα βιοψίας με βελόνη.

Συχνά ανευρίσκεται μέσα σε άλλες βλάβες του μαστού όπως το ιναδένωμα, το ενδοπορικό θήλωμα κ.ά.

Σε περιπτώσεις που αφορούν υλικό βιοψίας με βελόνη, μπορεί, ανάλογα με την αιτία για την οποία έγινε η βιοψία αλλά και με την ποσότητα του ιστού που έχει ληφθεί, να απαιτείται επιπλέον χειρουργική αφαίρεση.

Η άτυπη υπερπλασία των πόρων αποτελεί παράγοντα κινδύνου ανάπτυξης καρκίνου στο μέλλον και, σε συνδυασμό με άλλους παράγοντες, μπορεί να κατατάξει την γυναίκα σε υψηλού κινδύνου με ανάλογη τροποποίηση του τρόπου και της συχνότητας των προληπτικών ελέγχων.