Κύστεις

Κύστεις

Κύστεις

Οι κύστεις του μαστού είναι μια πολύ συνηθισμένη κατάσταση και αφορούν συνήθως γυναίκες ηλικίας μικρότερης των 50 ετών που βρίσκονται σε αναπαραγωγική ηλικία.

Δεν είναι σαφής ο λόγος για τον οποίο δημιουργούνται οι κύστεις.

Θεωρούνται περισσότερο σαν φυσιολογική παραλλαγή στην ανάπτυξη και εξέλιξη του μαστού παρά σαν νόσος.

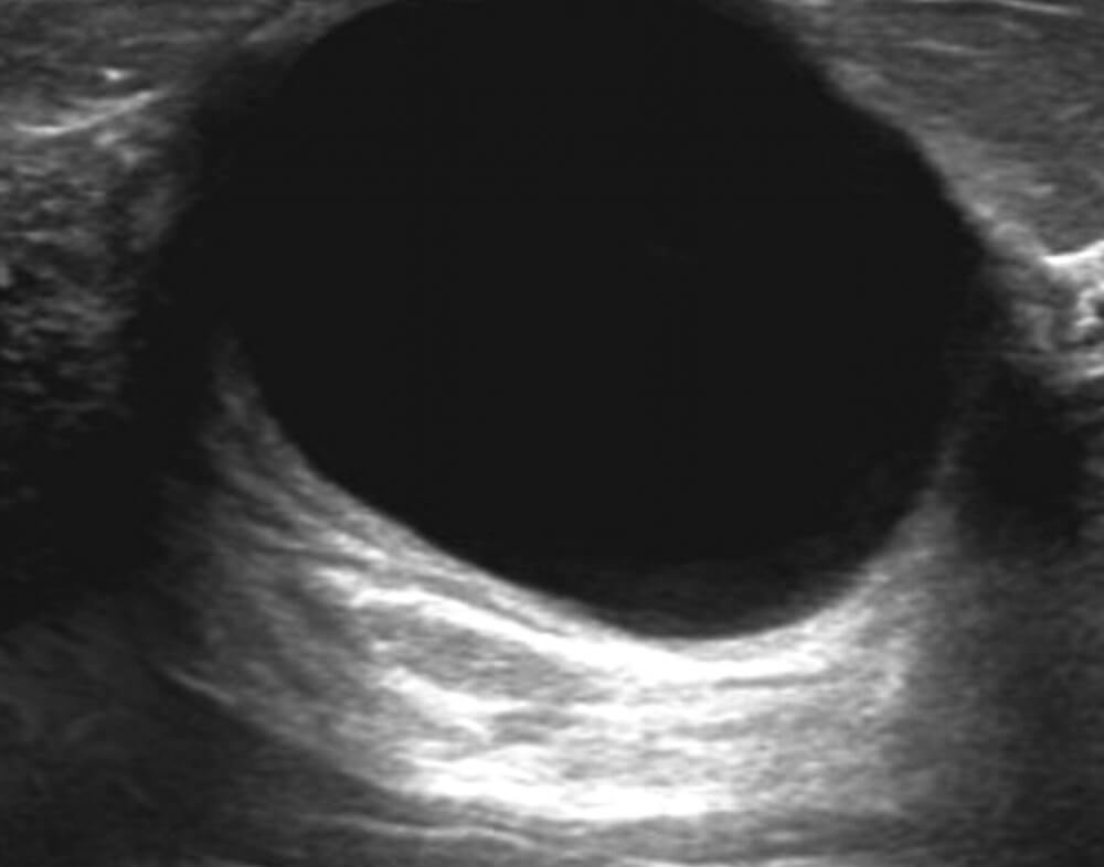
Διακρίνονται στις απλές κύστεις, στις επιπλεγμένες κύστεις και στις σύνθετες κύστεις.

Οι απλές κύστεις, πρακτικά, είναι μικρά «σακουλάκια» μέσα στο μαστό που περιέχουν υγρό.

Μερικές φορές μπορεί να έχουν μεγαλύτερο μέγεθος ώστε να είναι ψηλαφητές ή ακόμη και ορατές σαν διογκώσεις στο μαστό.

Συνήθως δεν προκαλούν συμπτώματα αλλά μερικές φορές μπορεί να εμφανίζουν τοπική ενόχληση ή πόνο, κυρίως πριν την εμφάνιση της περιόδου.

Δεν σχετίζονται με την ανάπτυξη κακοήθειας και δεν χρειάζονται καμία θεραπεία.

Σπάνια, όταν μια κύστη προκαλεί έντονα τοπικά συμπτώματα και ενοχλεί την γυναίκα, μπορεί να γίνει παρακέντηση της κύστης και άδειασμα του περιεχομένου της για ανακούφιση των συμπτωμάτων.

Σε καμία περίπτωση δεν προτείνεται χειρουργική αντιμετώπιση των απλών κύστεων.

Επιπλεγμένες κύστεις είναι οι κύστεις που φλεγμαίνουν.

Η φλεγμονή μιας κύστης μπορεί να οφείλεται είτε σε διάταση και ρήξη του τοιχώματος μετά από απότομη πλήρωση (γέμισμα) με υγρό πριν την περίοδο είτε σε είσοδο μικροβίων.

Στη δεύτερη περίπτωση υπάρχει πύον και σχηματίζεται απόστημα.

Οι επιπλεγμένες κύστεις παράγουν έντονα συμπτώματα όπως τοπικά πόνος, ερυθρότητα του δέρματος, σκληρή διόγκωση και αυξημένη θερμοκρασία.

Συνήθως τα συμπτώματα υποχωρούν με τη χορήγηση αντιφλεγμονωδών φαρμάκων ενώ όταν εμπλέκεται και μικροβιακή λοίμωξη απαιτείται και χορήγηση αντιβιοτικών.

Σε ορισμένες περιπτώσεις, ειδικά στο σχηματισμό αποστήματος, είναι απαραίτητη η εκκένωση (άδειασμα) με παρακέντηση με βελόνη υπό υπερηχογραφική καθοδήγηση.

Σπάνια μπορεί να απαιτηθεί χειρουργική παροχέτευση.

Οι σύνθετες κύστεις είναι κύστεις στις οποίες όμως συνυπάρχει και συμπαγές στοιχείο.

Συνήθως δεν προκαλούν συμπτώματα και δεν σχετίζονται με κακοήθεια.

Σε λίγες περιπτώσεις και εφ’ όσον συνηγορούν και άλλα στοιχεία από την κλινική εξέταση ή την απεικόνιση, μπορεί να υποκρύπτουν κακοήθεια.

Στις περιπτώσεις αυτές είναι απαραίτητη η διενέργεια βιοψίας με βελόνη.