Ιναδένωμα

Ιναδένωμα

Ιναδένωμα

Το ιναδένωμα είναι η πιο συχνή καλοήθης βλάβη του μαστού.

Από αρκετούς θεωρείται περισσότερο ως καλοήθης υπερπλασία των λοβίων του αδένα του μαστού παρά σαν καλοήθης όγκος.

Αφορά το 25% των ασυμπτωματικών νέων γυναικών και εμφανίζεται συχνότερα σε ηλικία μεταξύ 15 και 35 ετών.

Όταν ένα ιναδένωμα εμφανίζεται σε ηλικία 15-18 ετών χαρακτηρίζεται ως νεανικό ιναδένωμα.

Είναι ορμονοεξαρτώμενος όγκος και για την ανάπτυξή του απαιτείται η παρουσία ορμονών (οιστρογόνα, προγεστερόνη).

Για το λόγο αυτό δεν εμφανίζονται νέα ιναδενώματα μετά την εμμηνόπαυση αλλά, αντίθετα, αρκετά από τα προϋπάρχοντα υποστρέφουν (χάνονται).

Τα απλά ιναδενώματα συνήθως φτάνουν σε μέγεθος μικρότερο των 3 εκατοστών και σε ποσοστό περίπου 20% μπορεί να είναι περισσότερα από ένα και να αφορούν και τους δύο μαστούς.

Μερικές φορές μπορεί να φτάσουν σε πολύ μεγάλο μέγεθος (πάνω από 10 εκατοστά) και ονομάζονται γιγαντιαία ιναδενώματα.

Πιο συχνά, γιγαντιαία ιναδενώματα γίνονται τα νεανικά ιναδενώματα τα οποία μπορεί να φτάσουν σε μέγεθος μέχρι και 15-20 εκατοστά.

Παράγοντες που μπορεί να προκαλέσουν αύξηση στο μέγεθος ενός ιναδενώματος είναι η λήψη ορμονών (οιστρογόνα, αντισυλληπτικά) και η κύηση.

Όταν τα ιναδενώματα περιέχουν και άλλες αλλοιώσεις όπως αδένωση, σκληρυντική αδένωση, επιθηλιακή υπερπλασία με ή χωρίς ατυπία χαρακτηρίζονται ως σύνθετα ιναδενώματα.

Τα απλά και νεανικά ιναδενώματα, ανεξαρτήτως μεγέθους, δεν έχουν κίνδυνο εξαλλαγής σε κακοήθεια, σε αντίθεση με τα σύνθετα ιναδενώματα τα οποία έχουν σχετικό κίνδυνο ανάπτυξης καρκίνου.

Επίσης, κακοήθεια μπορεί να υποκρύπτουν ιναδενώματα που εμφανίζονται σε μεγαλύτερη ηλικία (πάνω από 35-40 ετών) ή προϋπάρχοντα ιναδενώματα που συνεχίζουν να αυξάνουν σε μέγεθος μετά την ηλικία των 40 ετών.

Η ύπαρξη οικογενειακού ιστορικού καρκίνου μαστού στις περιπτώσεις αυτές αυξάνει την πιθανότητα κακοήθειας.

Τα ιναδενώματα συνήθως είναι ασυμπτωματικά.

Ορισμένες φορές αναφέρονται τοπική ενόχληση ή πόνος κυρίως με πίεση και κατά την διάρκεια της εμμήνου ρύσεως.

Διάγνωση και αντιμετώπιση ιναδενωμάτων

Κλινικά γίνονται αντιληπτά ως ομαλά, ωοειδή, ευκίνητα ογκίδια με ελαστική σύσταση.

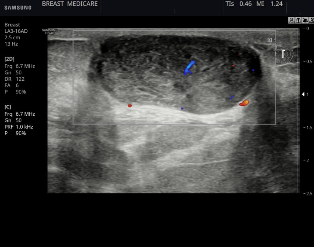
Απεικονιστικά έχουν χαρακτηριστική εικόνα στο υπερηχογράφημα.

Η διάγνωσή τους στις νεότερες ηλικίες γίνεται με βάση το ιστορικό εμφάνισης και εξέλιξης, την κλινική εικόνα και τα υπερηχογραφικά ευρήματα.

Σε μεγαλύτερες ηλικίες ή σε κάθε περίπτωση που θα μπορούσε να υποκρύπτεται κακοήθεια η διάγνωση θα πρέπει να τεκμηριώνεται ιστολογικά με βιοψία με βελόνη.

Τα μικρά απλά ιναδενώματα δεν χρειάζονται καμία αντιμετώπιση.

Όταν αυξάνονται σε μέγεθος πέρα από τα 3-4 εκατοστά, παρ’ ότι δεν υπάρχει κίνδυνος κακοήθειας, προτείνεται η χειρουργική αφαίρεση διότι μπορεί να μετατραπούν σε γιγαντιαία ιναδενώματα και να προκαλέσουν δυσμορφία στο μαστό.

Τα σύνθετα ιναδενώματα έχουν ένδειξη χειρουργικής αφαίρεση λόγω του κινδύνου εξαλλαγής σε κακοήθεια.